Blurring the lines between Science and Art
Pennypot dental
Composite Bonding Treatment
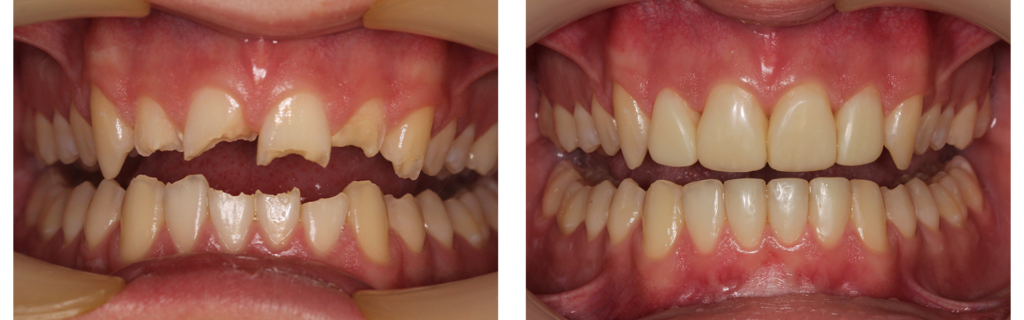
Imagine if each tooth could be artistically sculpted to the perfect shape, improving your smile’s symmetry, contouring and colour – all in just one visit. That’s the power of composite bonding.
This minimally invasive cosmetic treatment is an excellent alternative to veneers. It requires little to no alteration of your natural teeth and delivers stunning results, quickly and comfortably.

Fantastically Versatile
Using a tooth-coloured resin called composite, we can gently re-shape your smile tooth-by-tooth in one visit.
It’s a fantastically versatile treatment for chips and cracks, and it even improves your smile’s symmetry, contouring and colour. In selected cases, the composite resin can close gaps between the teeth.
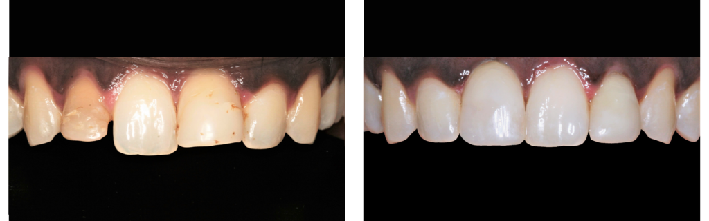
Whether you want a flawless, Hollywood-style finish or a more subtle and natural look, composite bonding is fully customisable to match your goals.

Composite Bonding Treatment Process
The process is simple and often completed in just one appointment:
- Shade Matching. Your dentist selects the perfect resin colour to blend with your natural teeth.
- Preparation. If needed, minor roughening of the tooth surface and a bonding agent are applied.
- Application. The composite resin is carefully shaped to match the natural contour of your tooth.
- Curing. A special light hardens the material in seconds.
- Finishing Touches. The bonded area is polished for a seamless finish.

Benefits of Composite Bonding Treatment
Here are a few reasons why dental composite bonding is a great choice for those looking to achieve the perfect smile:
- Quick and Effective: Composite bonding is a fast way to fix cosmetic concerns. The procedure is usually completed in a single visit to the dentist.
- Used to Treat Many Issues: The method can be used to fix many dental issues, including chips and cracks, gaps, discolouration and misaligned teeth.
- Painless: Composite bonding is entirely painless, requiring no anaesthesia or drilling. You can return to your normal activities immediately after the treatment.
- Cost-Effective: Compared to other cosmetic dental procedures, composite bonding is a more affordable option.
- Minimally Invasive: This treatment preserves your natural teeth, as there is no need for your dentist to use a drill.

Why May You Need Composite Bonding Treatment
You may be a great candidate for composite bonding if you have:
- Gaps and cracks
- Discoloured or stained teeth
- Jagged or chipped teeth.
It’s also an excellent option for patients looking to improve their smile without the need for more extensive treatments such as veneers or crowns.

Is Composite Bonding Right For Me?
Composite bonding is primarily used to address minor concerns. If you are experiencing more severe dental problems, such as significant tooth decay or misalignment, alternative treatments may be more appropriate.
Your overall health plays a crucial role in whether composite bonding is the right treatment option for you. The procedure requires a healthy foundation of teeth and gums. If you have underlying dental issues, they must be addressed before undergoing composite bonding treatment.

Composite Bonding Aftercare
For the first few days following treatment, your teeth will be settling and may be prone to staining. To ensure the best results, it’s important to avoid certain foods and drinks that could impact the bonding material.
Short-Term Care:
- Avoid sticky foods
- Refrain from smoking
- Limit coffee and red wine intake.
Long-Term Aftercare Tips:
Maintain good oral hygiene:
- Brush your teeth twice a day.
- Use dental floss daily.
- Rinse with a high-quality mouthwash to keep your teeth clean and fresh.
Protect your teeth:
- If you grind your teeth at night, consider using a mouthguard to prevent damage to the composite material.
Regular dental visits:
- Schedule regular check-ups so your dentist can monitor the bonding and address any issues quickly.
Finance Options Available
At Pennypot Dental, we are pleased to offer interest-free finance on composite bonding treatments for up to 2 years. Spread the cost of your smile transformation with manageable monthly payments. Speak to our team today to begin your application.

Why Choose Us?
We’re committed to delivering high-quality dental care to all our patients. If you’re searching for a reputable clinic to receive composite bonding in Kent, you’ve come to the right place. Whether you’re looking to correct chipped or cracked teeth, or simply want to improve the appearance of your smile, we can help.

Before & After
Composite Bonding FAQs

For the majority of cases, composite resin is applied with no drilling to the natural tooth. If an adjustment to the tooth is required, it will be discussed in your consultation.
The majority of cases are pain-free without the need for local anaesthesic.
In some cases, straightening is required before bonding, otherwise, bonding can make your teeth appear thick and bulky. That being said, in some cases, composite bonding may be strategically placed to disguise or minimise the appearance of gaps or crooked teeth.
Composite bonding is a single-session treatment, used to correct small imperfections, chips, cracks and minor spacing between the teeth. No drilling is involved. Veneers are ultra-fine and perfectly polished porcelain, designed to cover your teeth. Minimal preparation of the natural tooth may be required. They are normally recommended for larger imperfections of the teeth and, as they are lab-made, are more costly than composite bonding.
Composite bonding is done in a single appointment. However, we will always book a consultation first to go over the finer details, and a review appointment at the end of treatment to ensure you are completely happy with the final result.
Typically, we see good results for up to 5 years, depending on care and maintenance. We advise regular polishing as bonding can pick up stains from coffee and red wine.
It is a great treatment for a variety of cases – from chips and cracks, stains and discolouration, general wear and much more. It can improve the smile’s symmetry and colour. In some cases, it can even close gaps between teeth.
Contact Us
Looking to improve your smile with composite bonding? Contact our friendly team in Kent to book your consultation. We’d be more than happy to talk you through the process and answer any questions you may have.
Our Clinics
















