Smile Brighter with White Fillings
Pennypot dental
White Fillings in Kent
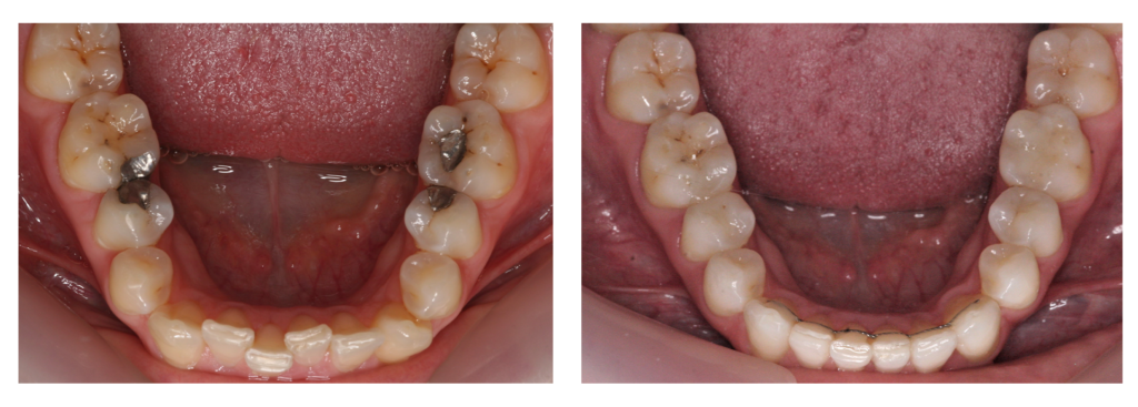
Remember black amalgam fillings? You’ll be pleased to know they’re a thing of the past. Nowadays, we use discreet, hard-wearing white fillings that don’t announce your treatment to the world.

The Finishing Touch
Whether you’re looking to upgrade your old metal fillings or need a completely new filling altogether, white fillings offer the ultimate solution. With their natural finish and ability to blend with your smile, white fillings protect your teeth after decay is removed, preventing breakage of the remaining tooth structure.
Before & After
White Fillings FAQs

White fillings, also known as composite fillings, are tooth coloured restorations used to fill cavities and repair damaged teeth. They have a natural finish and the ability to blend seamlessly with your smile.
White fillings are preferred by many patients because they are more aesthetically pleasing and blend in with your natural teeth. They also require less removal of the tooth structure compared to amalgam fillings.
White fillings do not require any special maintenance beyond regular oral hygiene practices such as brushing, flossing, and routine dental examinations. Avoiding habits like nail-biting or chewing on hard objects can help prolong the lifespan of your fillings.
Yes, white fillings can be used to replace old metal fillings. Your dentist can assess the condition of your existing fillings and recommend the best course of action for replacing them with white fillings to achieve a natural, seamless appearance.
The cost of white fillings may be slightly higher than traditional amalgam fillings due to the high-quality materials used and the technique involved in placing them. However, many patients find the aesthetic benefits of white fillings worth the investment. We offer 0% finance on all treatments over £500.
White fillings are suitable for most teeth, including front and back teeth. Your dentist will evaluate your specific case to determine if white fillings are the best option for your dental needs.
White fillings are resistant to staining, but they may discolour after many years due to factors like smoking, consumption of certain foods and drinks, and natural wear and tear. Regular hygienist visits can help maintain the appearance of your white fillings.
To schedule an appointment for white fillings with us, contact your local Pennypot practice. Our friendly staff can arrange a convenient time for your treatment. We look forward to helping you achieve a healthy and beautiful smile with white fillings.
Yes, you can eat normally after your filling appointment unlike alternative fillings that take up to 24 hours to set.
White fillings are fully set at the appointment, so you can go about your day as normal.
You can brush your teeth straight after the filling has been completed. It is also important to floss in between the teeth to ensure they have long-lasting results.
Contact Us
For more information on White Fillings, get in touch with a member of our team today.
Our Clinics




