For A Stunning Natural Appearance
Pennypot dental
Premium Dentures for Missing Teeth
- Premium dentures provide the best fit with limited need for messy denture glue
- Gives you a more youthful appearance as premium dentures can reverse the shallow and sunken facial appearance caused by tooth loss
- State-of-the-art equipment, highest-quality materials and expert labs
- A brilliant, most natural-looking denture. Premium denture design is a collaborative process, where you will get to go over the finer details like shape, shade, symmetry and more.
Types of Premium Dentures
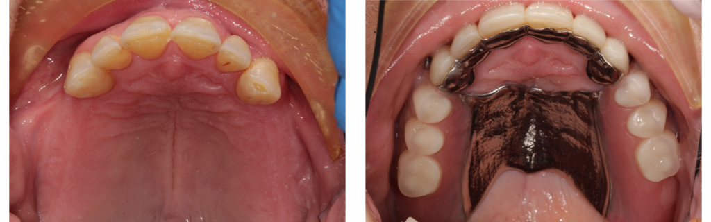
- Acrylic premium dentures: replaces all of the teeth in one arch
- Chrome premium dentures: replaces a number of missing teeth
Benefits of Premium Dentures for Missing Teeth
- The best fitting denture and a limited need for messy denture glue
- Gives you a more youthful appearance as dentures can reverse the shallow and sunken facial appearance caused by tooth loss
- State-of-the-art equipment, highest-quality materials and expert labs
- A brilliant, most natural-looking denture. Premium denture design is a collaborative process, where you will get to go over the finer details like shape, shade, symmetry and more.
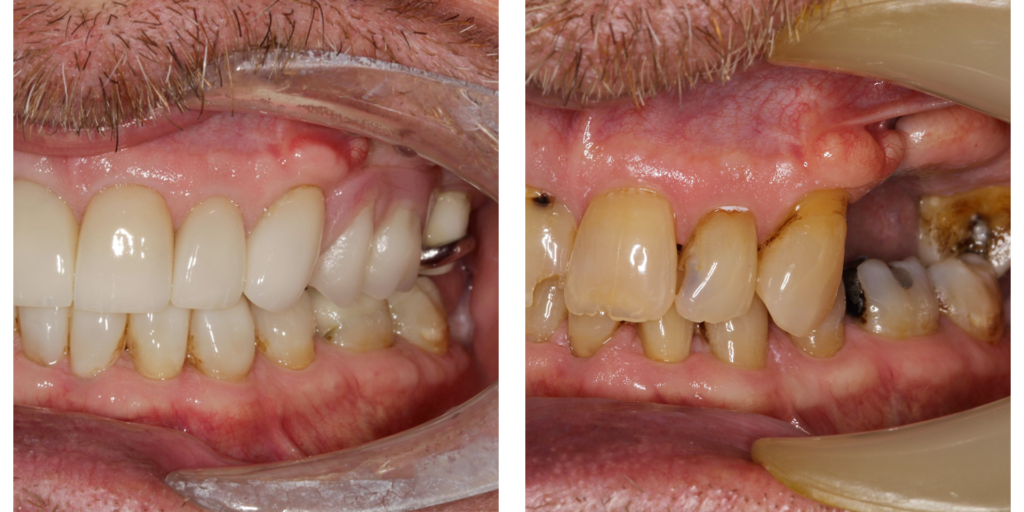
Before & After
Pennypot dental
Video Testimonials
Premium Dentures FAQs
This is a complete premium denture used to replace all teeth in an arch. It is made using techniques taught to us by Dr Finlay Sutton, one of the world’s leading denture-making specialists. We have a close working relationship with expert dental technicians who spend a lot of time creating your premium dentures using materials of the highest quality.
This is a premium denture used to replace a number of missing teeth in an arch. It is made from cobalt chromium frameworks that ‘clips’ into existing teeth to reduce movement when eating and speaking. Premium chrome dentures are made using techniques taught to us by Dr Finlay Sutton, one of the world’s leading denture-making specialists. We have a close working relationship with highly skilled dental technicians who spend a lot of time creating your premium dentures using materials of the highest quality.
- Premium dentures provide the best fit with limited need for messy denture glue
- State-of-the-art equipment, highest-quality materials and expert labs
- Gum and tooth characterisation to provide a brilliant, natural-looking denture
- They can be ‘future-proofed’, so any teeth of poor prognosis can be added to a later date.
Contact Us
For more information on our premium dentures for missing teeth, get in touch with a member of our team today.
Our Clinics







