Orthodontic Treatment

Our Specialist Orthodontist Has Over 20 Years of Experience

Pennypot dental

Orthodontic Treatment

ortho

Straight-Talking Orthodontic Treatment

Our multi-award-winning orthodontist Dr. Gareth Williams has years of rigorous training and experience and has been recognised for his expertise in the field. He has helped over 5,000 patients, young and old, to make new friends with their inner confidence. You can explore some of his amazing transformations on Instagram @brace.book.

If you would like to achieve a straighter smile, please book in for a free consultation. At your appointment, Dr. Williams will provide you with bespoke alignment solutions and a personalised orthodontic treatment plan.

gareth

The Benefits of Orthodontic Treatment

Recruitment

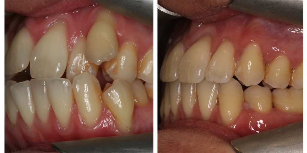
Before & After

Orthodontics FAQs

Facial Aesthetics

Fixed braces are constantly moving teeth into the correct position. These braces can correct all misalignments. They do not need to be removed for eating, drinking, or brushing. There is no risk of losing them like removable trays. Traditional braces are better for those who may be unable to keep up with the high maintenance and care that aligners require.

Severe malocclusions are often corrected with fixed braces. When you have severe underbites, overbites, large gaps, rotated teeth, protrusive teeth, intrusion, or crooked teeth due to overcrowding, fixed braces offer better results.

The length of orthodontic treatment can depend on the complexity of movements. Our orthodontist will carry out a detailed assessment and explain your options including how long the treatment will take.

Pennypot offers various orthodontic services – solutions include fixed metal, fixed clear ceramic, lingual braces and Invisalign®. Some are more discreet than others. Following a free consultation, Dr. Gareth Williams will provide you with bespoke alignment solutions with personalised treatment plans.

Slight discomfort can occur after any adjustment appointments, but this soon fades and you will be comfortable afterwards.

At Pennypot, we are pleased to offer 0% finance on all treatments over £500. This means you can pay monthly for 3, 6, 10, 18 or 24 months.

Retainers are essential to maintain your perfectly straight teeth after visiting our orthodontists. We offer both removable and fixed retainers.

Pennypot dental

Video Testimonial

Hear directly from our patients and watch our video testimonials to see the incredible impact orthodontic treatment has had on their lives.

Contact Us

Looking to learn more about our orthodontic treatments? We’d love to hear from you. Contact the Pennypot team today.

Our Clinics

ASHFORD

01233 620565

HYTHE

01303 262683

NEW ROMNEY

01797 330371

HAWKINGE

01303 760149

EDENBRIDGE

01732 914455