Creating Confident Smiles For Over 30 Years
Pennypot dental
Smile Makeovers
Pennypot Dental has been transforming smiles for over 30 years. Many of our team members have trained with world-renowned cosmetic dentists; Dr Chris Orr and Dr Monik Vasant, and their techniques are implemented in every dental makeover at Pennypot Dental. We are committed to providing the best aesthetic outcome using cutting-edge technology.

Ready, Set, GO…
Cosmetic smile makeovers feature a perfect blend of our favourite treatments: whitening, composite bonding, alignment and porcelain veneers. Implants and premium dentures are the icing on the cake. Whether you are looking for glam Hollywood perfection, or want a natural look that compliments you perfectly, you can feel confident knowing your treatment is in great hands.
Your initial consultation is a chance to tell us all about your smile – what you love, what you hate, the quirks you would like to hide and those you want to show off. From there, we can design a treatment plan for your dental makeover. You can even see your smile before committing, and make any adjustments right down to the last millimetre.

What Treatments Are Included in a Full Smile Makeover?
Every smile makeover is bespoke and tailored to your individual needs and goals of the patient. There are several cosmetic dental treatments that are often included in a dental makeover package, such as Invisalign, professional whitening and composite bonding.
Whether you’ve already undergone orthodontic treatment and are looking to improve the colour and overall appearance of your teeth, or you’re just starting your journey to a more confident smile, we can create a customised treatment plan to suit your goals.

Why Choose a Cosmetic Smile Makeover?
A smile makeover is an effective way to boost your confidence, leaving you with the smile of your dreams. From stubborn yellow stains to chipped teeth, a smile makeover can correct a range of dental issues, ensuring every treatment works together to achieve stunning results.
Our clinicians’ advanced training ensures results that are both beautiful and beneficial for your overall health.

The Smile Makeover Process
The smile makeover process begins with a consultation with one of our experienced dentists. We’ll discuss your goals and the treatments available to you, before drafting a few different treatment options for you to pick from.
After you have decided on the treatment plan, we will organise a mock-up so you can preview your dream smile before committing. We will then schedule your treatments, with each journey being completely tailored to you.
Once your treatments are complete, it’s important to follow the aftercare provided by your dentist to ensure your new smile keeps looking its best for years to come!
Benefits of Smile Makeovers
There are numerous benefits that come with investing in a cosmetic smile makeover, including:
- Improved Oral Health: A smile makeover can address issues such as tooth decay and tooth wear.
- Boost Confidence: A dental makeover can enhance everything from colour and shape to size and alignment, helping you feel more confident in your smile and overall appearance.
- Long-Lasting Results: With regular dental check-ups and good oral hygiene, results can last for many years.
Reduced Pain: A smile makeover can help relieve headaches and neck pain caused by misaligned teeth or jaw issues.
Why choose Pennypot for your smile makeover?
Pennypot Dental has been transforming smiles for over 30 years across East Kent. We are a multi-disciplinary team of general dentists, cosmetic dentists and specialists. Our team works closely together and continually develops their skills. Many have trained with world-renowned cosmetic dentists; Dr Chris Orr and Dr Monik Vasant, to ensure that they are providing the best cosmetic outcome. We use cutting-edge techniques and have invested in state-of-the-art digital technology to design your smile with the ultimate precision and accuracy. Get in touch today by clicking here.
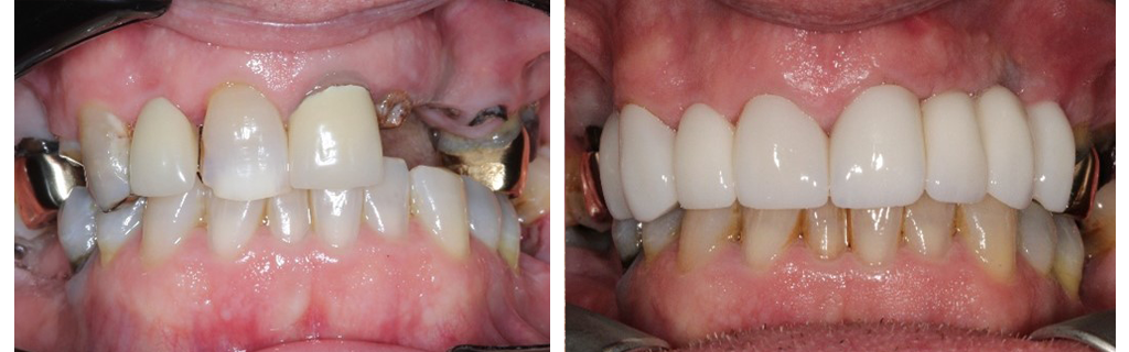
Before & After
Cosmetic Smile Makeover FAQs

We use a combination of cosmetic dental treatments to achieve your signature look, including whitening, composite bonding, alignment veneers/crowns, implants and dentures.
Dental makeovers are a collaborative process, and you are in the driver’s seat. Together, we will decide on the finer details, right down to the last millimetre. Before committing, you will be able to see your smile and make any adjustments from that.
Each dental makeover is bespoke to create a look that’s tailored to you. The number of appointments will depend on the features you would like to change and the timeframe we have.
Designing and creating your new smile is achieved in the following way:
- SMILE ANALYSIS – Smile Analysis involves a comprehensive assessment, including taking clinical photographs, x-rays and taking a digital 3D scan of your smile. We will discuss your hopes for your dental makeover and what you’d like to change and keep about your smile. After this, we work with the Laboratory Technician to design a treatment plan for your signature look.
- 3D SMILE MOCKUP – The above information is processed to create a 3D smile simulation. You can preview your new smile with us, and go over the final details.
- TRIAL SMILE – Our technology allows you to try your smile in your mouth to see your new look before beginning treatment. We will work together to make further adjustments so your smile looks just the way you want it.
- FINAL RESTORATIONS – Once you have given us the green light, we will begin your cosmetic smile makeover.
- FINAL REVIEW – Our team will carry out any final touches, and provide aftercare instructions and maintenance advice. This is your chance to make any amendments to ensure you are happy with the final results.
We have helped thousands of patients, young and old. Whether it be simple whitening or a complete transformation, we can provide dental makeovers for everybody.
Pennypot Dental has been transforming smiles for over 30 years across East Kent. We are a multi-disciplinary team of general dentists, cosmetic dentists and specialists. Our team works closely together and continually develops their skills. Many have trained with world-renowned cosmetic dentists Dr Chris Orr and Dr Monik Vasant to ensure that they are providing the best cosmetic outcome. We use cutting-edge techniques and have invested in state-of-the-art digital technology to design your smile with the ultimate precision and accuracy.
We have all seen those pictures of patients with peg teeth before getting veneers. However, this type of work is only when patients travel abroad for treatment. It is incredibly destructive!
Although some preparation is necessary, it does not need to be so drastic. Thanks to our state-of-the-art technology, we can get away with carrying out as little preparation as possible.
Whether you’re a teen looking to correct orthodontic issues, a young adult wanting to brighten their teeth or an older adult looking to address broken down teeth, there is no perfect age to undergo a smile makeover. Whatever stage of life you’re navigating through, we can create a treatment plan tailored to you.
Contact Us
For more information on Cosmetic Smile Makeovers, get in touch with a member of our team today, find your local branch details here.
Our Clinics











